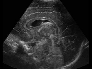
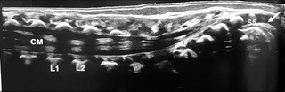
Pediatric sonography uses real time imaging with sound waves to diagnose conditions in organs and blood vessels. The sound waves allow the sonographer to clearly see many parts of the body, such as the abdomen, spine, hips, breasts, pelvis, scrotum, and thyroid. Pediatric ultrasound is a great diagnostic tool for children because there is no exposure to radiation and it is painless.


• Take time to talk with your child and explain what to expect. Example, the sonographer is going to put some warm gel on your area and take pictures with their smooth camera,
it should only take a few minutes and it will not hurt so there's nothing to be afraid of.
• Reassure your child that you will be there with them the whole time.
• You may want to bring a comfort item like a blanket, stuffed animal, or Ipad/ phone to watch fun cartoons to keep your child distracted.
• Most ultrasounds don't require special preparation. Sometimes, the ultrasound requires that your child has an empty stomach or a full bladder. Your child most likely won’t need to remove any clothing.
A Radiologist will review your exam and a report of your child's exam will be sent to their doctor, who will discuss the results directly with you.